
Đứa con chính là món quà vô giá mà Thượng đế ban tặng, là tài sản quý nhất của gia đình và cũng là sợi dây gắn kết của mỗi cặp vợ chồng.
Song, đối với những cặp vợ chồng được cho là vô sinh, hiếm muộn thì không nỗi đau, sự cô độc nào nói lên hết được sự phiền muộn. Và hành trình tìm kiếm một đứa con sẽ thật khó khăn bởi sẽ gặp rất nhiều rào cản.
Đứa con chính là món quà vô giá mà Thượng đế ban tặng, là tài sản quý nhất của gia đình và cũng là sợi dây gắn kết của mỗi cặp vợ chồng.
Song, đối với những cặp vợ chồng được cho là vô sinh, hiếm muộn thì không nỗi đau, sự cô độc nào nói lên hết được sự phiền muộn. Và hành trình tìm kiếm một đứa con sẽ thật khó khăn bởi sẽ gặp rất nhiều rào cản.
* Đau đáu hành trình tìm con
Sau một thời gian tìm hiểu, yêu nhau, anh S và chị L quyết định đi đến kết hôn. Sau ngày cưới, sự mong mỏi của anh chị không phải là chuyện có nhà, có xe mà là có một tiếng khóc cười trẻ thơ.
Dù cả hai rất hạnh phúc, rất khỏe mạnh, dù hai người không dùng biện pháp tránh thai nào… nhưng đã 3 năm trôi qua căn nhà ấy vẫn vắng tiếng khóc cười của con trẻ. Lúc này, không chỉ anh chị lo lắng, mà gia đình hai bên cũng bắt đầu sốt ruột. Nhiều tiếng dị nghị bên ngoài “đàn bà không biết đẻ” khiến chị đau lòng.
Mong mỏi, phiền muộn rồi lo lắng, anh chị đã cùng nhau đi khám sức khỏe sinh sản tại Bệnh viện Âu Cơ. Khi nhận giấy kết quả xét nghiệm tinh dịch đồ của anh kết luận là “tinh trùng yếu”, còn chị thì “kinh nguyệt không đều”, cả hai rất buồn. Ước mơ được làm cha, làm mẹ, được ẵm bồng đứa con của mình trong vòng tay yêu thương đã mỗi ngày một xa vời…
Tại đây, anh chị đã nhận được sự chia sẻ, tư vấn, giới thiệu các phương pháp, kỹ thuật thụ tinh mới, cũng như đánh giá cơ hội có thai từ các chuyên gia của bệnh viện, anh chị rất mừng và quyết định thực hiện biện pháp hỗ trợ sinh sản IUI (bơm tinh trùng vào buồng tử cung).
Song, ngay cả khi mọi thứ đã sẵn sàng, chuyện có một đứa con cũng chưa phải dễ dàng. Sau lần bơm thứ nhất, rồi bơm lần thứ hai cũng đều thất bại khiến anh chị nản lòng, thậm chí là hụt hẫng. Nhất là chị, sự tuyệt vọng hiện rõ trên khuôn mặt. Nhưng không vì thế mà anh chị bỏ cuộc. Sự nỗ lực của đội ngũ chuyên gia bệnh viện, cùng với những lời động viên từ gia đình, bạn bè và trên hết là nỗi khát khao, sự quyết tâm được một lần làm cha, làm mẹ… như thắp lên ngọn lửa hy vọng cho anh chị.
* Đón quả ngọt…
Sau thời gian dài phiền muộn vì không thể sinh con; sau nhiều lần thực hiện phương pháp IUI không thành công, giấc mơ có đứa con lại càng thêm xa vời. Nhưng rồi sự quyết tâm và những nỗ lực của anh chị cũng đã “đơm hoa, kết trái”.
Để có được quả ngọt thì sự kiên trì, nỗ lực của cả bản thân anh chị, của gia đình là rất cao. Và đặc biệt các chuyên gia điều trị vô sinh, hiếm muộn của Bệnh viện Âu Cơ đã quyết định chuyển sang thực hiện kỹ thuật IVF (thụ tinh trong ống nghiệm) cho anh chị. Đây là một phương pháp hỗ trợ sinh sản hiện đại nhất hiện nay, cho tỷ lệ đậu thai cao ở những cặp vợ chồng không thể thụ thai bằng cách tự nhiên.
![]() |
| Các Bác sĩ Bệnh viện Âu Cơ đang thực hiện chọc hút trứng |
Sau khi làm kỹ thuật, theo dõi, kiểm tra, một sớm tháng 7 trong trẻo, các chuyên gia chính thức thông báo thai đã đậu và phát triển tốt trong lòng tử cung của người mẹ. Cảm xúc đầu tiên của anh chị là sự vỡ òa, những nụ cười lẫn trong nước mắt. Bây giờ, anh chị mới cảm thấy niềm hạnh phúc trọn vẹn khi sắp có một bàn tay thiên thần bé nhỏ gõ cửa trái tim và trong ngôi nhà của anh chị sẽ có tiếng khóc cười của một đứa trẻ…
Đến nay, mầm sống đã định hình ổn định trong lòng người mẹ được 21 tuần và hiện đang phát triển rất tốt. Từng thai kỳ của chị đều được các chuyên gia của bệnh viện theo dõi và chăm sóc, cùng với sự chăm sóc của gia đình cho đứa con sắp chào đời, với hy vọng thiên thần bé nhỏ ra đời khỏe mạnh, được chào đón trong vòng tay nâng niu, yêu thương của cha mẹ, ông bà... Và tuyệt vời hơn là khép trọn vòng hạnh phúc của một gia đình khi có đủ những ngọn nến vàng, nến xanh và nến hồng lung linh.
Bệnh viện Âu Cơ, nơi có đội ngũ chuyên gia, có các y bác sĩ giỏi và cũng là nơi thực hiện các kỹ thuật thụ tinh hiện đại nhất hiện nay, luôn tự hào đã gieo mầm hạnh phúc, mang đến sự kỳ diệu gọi tên “con” cho biết bao cặp vợ chồng. Niềm tin đã được đặt đúng chỗ để hạnh phúc vỡ òa.
Điều đó cho thấy, trong hành trình tìm con của những cặp vợ chồng vô sinh, hiếm muộn chưa khi nào là dễ dàng. Song, khi biết chọn đúng nơi trao gửi niềm tin, nhất định sẽ hái được quả ngọt…
P.V
![]() |
| Kết quả xét nghiệm Tinh dịch đồ của anh S |
* Những hình ảnh siêu âm đáng yêu nhưng không kém phần nghịch ngợm của con qua các mốc thời gian:
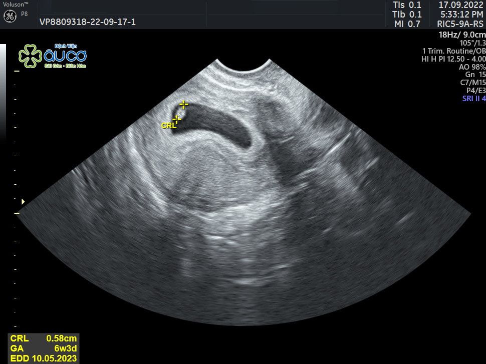
![]() |
| 6 tuần 3 ngày |
![]() |
| 8 tuần 5 ngày |
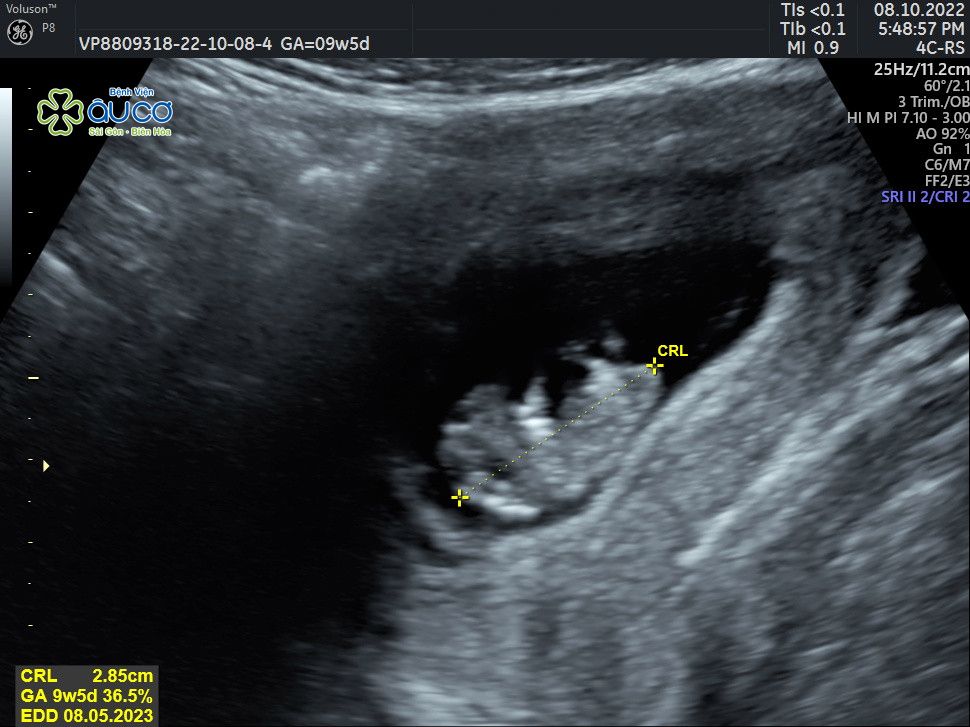
![]() |
| 9 tuần 5 ngày |
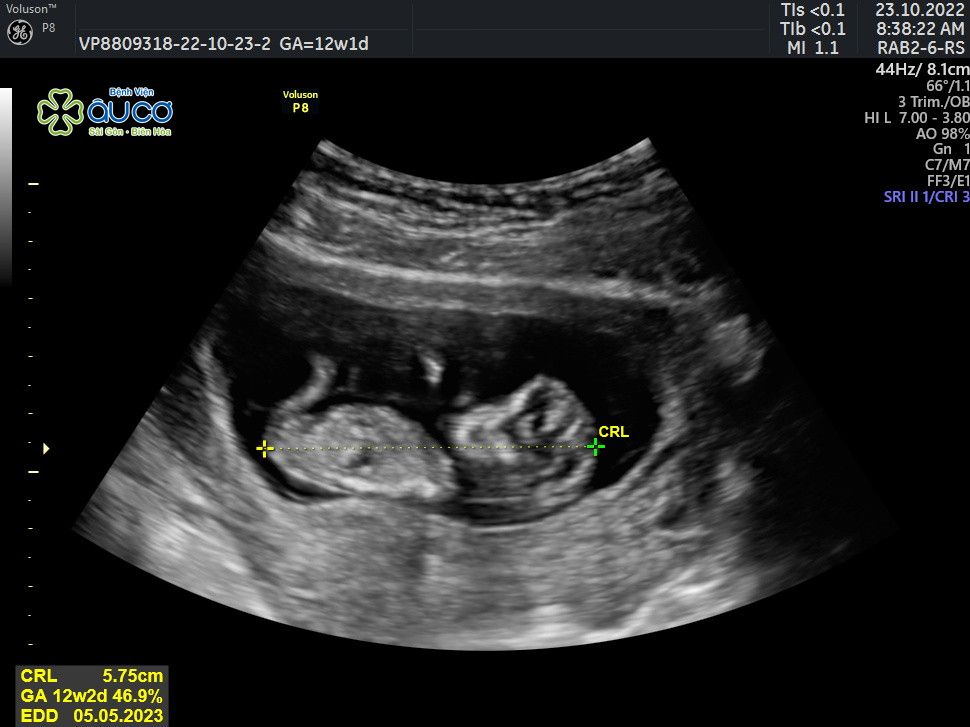
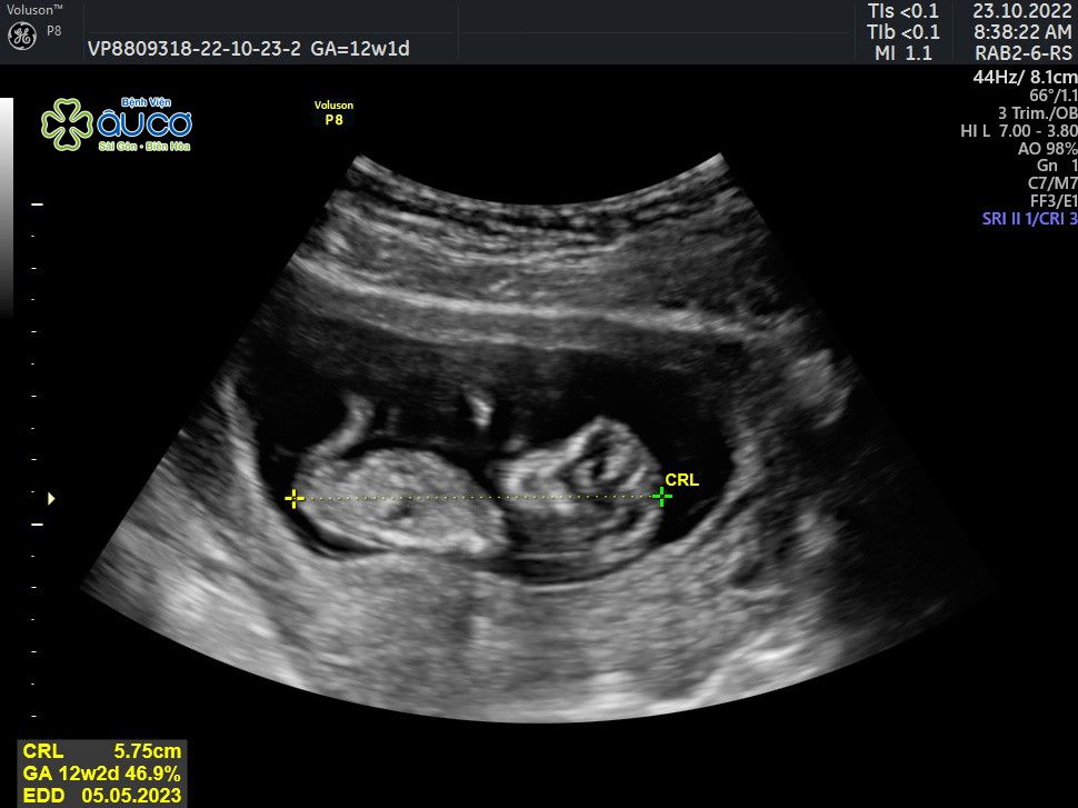
![]() |
| 12 tuần 1 ngày |








![[Video_Chạm 95] Xã Xuân Bắc](/file/e7837c02876411cd0187645a2551379f/122025/111111111_20251213064439.jpg?width=400&height=-&type=resize)

![[Chùm ảnh] Mưu sinh trên những đồi hom tràm](/file/e7837c02876411cd0187645a2551379f/122025/11_2_20251211151958_20251211172402.jpg?width=500&height=-&type=resize)





![[Infographic] Phòng ngừa học sinh tự chế pháo nổ: 7 lưu ý phụ huynh cần biết](/file/e7837c02876411cd0187645a2551379f/122025/img_0320_20251211183542.jpeg?width=500&height=-&type=resize)


